歯に合せて入れ歯を作るのではなく、入れ歯に合せて歯を作りかえる治療
「何度入れ歯を作っても痛くてはめられない、しばらく放置していたらもっと歯が悪くなった」
という60代女性です。



部分入れ歯で大切なことは、
歯に合わせて入れ歯を作るのではなく、入れ歯に合わせた歯を作るという事です。
形が悪くて入れ歯のバネがかかりにくい歯に合わせて入れ歯を作るというのは、
下のレベルに合わせて全体を引き下げるという事です。
入れ歯のバネがかかりやすいように歯を作りかえるというのは、
高いレベルを目指して一部のダメな物を引き上げていくという事です。
もちろん 歯を削る というダメージを負わせることにはなります。
かぶせ物を作る分だけ保険治療であっても、治療期間が長く、費用が高くなります。
しかし、作っても作ってもいくら調整しても痛みがあるというならば、
いっそ歯を削ってでも快適に使えるようにした方が良いのではないかと思います。
入れ歯が合わないのだから入れ歯だけ作り直してほしい とおっしゃる方がいますが、
入れ歯が悪いのではなく、入れ歯が入れられないような歯の状況が悪いという方がほとんどだと思います。
そのため、「歯は削らないでほしい、入れ歯だけ作ってほしい、
すぐに噛めるようにしてほしい」という方は非常に治療が難しいです。
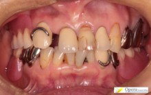
治療後



入れ歯のばねがかかるところにかぶせ物をしています。
入れ歯のばねがかかりやすいように、本来の歯の形と若干形を変えています。
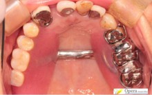
入歯装着
入れ歯を入れたところです。



装着日の診療時間は5分でした。痛みなく、スポッと入りました。
1週間後の調整時間は10分でした。 ちょっと痛むところがあるというので、その場所を削りました。
その後は問題なく使えているとのことです。
今後は前歯の虫歯を治療していきます。
このようにうまくいった理由として患者さんが歯を削ることに同意してくださったこと、
咬み合わせの分析をしてくださったこと、
協力的で治療の限界に対して理解があったことがあげられると思います。


