総入れ歯に1本だけインプラント、その後レジリエンツ・テレスコープ
インプラントは体にとってはやはり異物なので、多数入れるのは気が引けます。
しかし、総入れ歯の場合、1本だけでも入れると、安定感・吸着感が全く違ってきて、よく噛めるようになります!
全身状態(例えば糖尿病)の問題、予算の問題でインプラントを少なめにしたい方にはおススメの方法です。
初診時です。



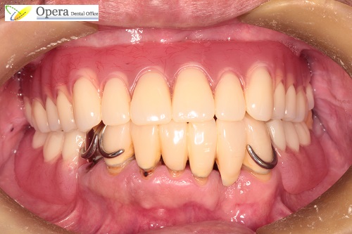
上の残っている2本の歯は歯周病で残すことは不可能です。
下の歯に関しては、歯並びが前後的に崩れていたため、この歯並びに合わせて上の入れ歯を装着すると、入れ歯がガタついて落ちてきてしまいます。
咬合器という咬み合わせを調べる器械で分析して、入れ歯の製作と下の歯並びの修正をしました。




上は新しく入れ歯を作り直し、下の歯にはとりあえずプラスチックの被せ物を今ある歯の上に貼り付けて、まずは噛めるようにしました。
その後、上の残せそうにない歯を抜歯し、上は歯が1本もない状態になりました。
総入れ歯でもかみ合わせがうまくいけば、なかなか噛めるのですが、より一層固いものでも噛めるようにするために1本だけインプラントを入れることにしました。
完成したところです。


この金属部分がインプラントです。インプラントにレジリエンツテレスコープを取り付けています。

金色の金属部分がインプラントにはまります。


横から見た歯並びも整っていると思います。
焼肉でもステーキでも大抵の物は食べられる、と高い評価をしていただきました。
インプラント21万円 + レジリエンツテレスコープ16万円 + チタン床総入れ歯30万円 =67万円(+税) でした。
その他保険の虫歯治療の費用が数万円程度かかっています。


